ЕЩЁ БОЛЬШЕ ИНТЕРЕСНОГО И ПОЛЕЗНОГО В НАШЕМ ТЕЛЕГРАМ-КАНАЛЕ «Здоровье уральцев» https://t.me/minzdravso
ПОДПИСЫВАЙСЯ!
Областная специализированная больница медицинской реабилитации «Липовка», Татьяна Каравашкина
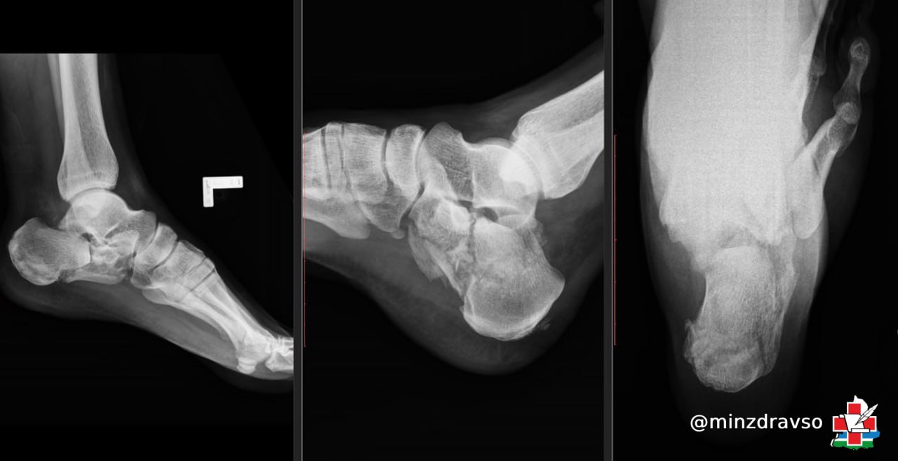
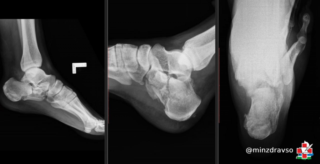
Травматологи Центральной городской клинической больницы №24 Екатеринбурга провели сложную операцию молодому жителю Режа, у которого из-за падения с трёхметровой лестницы были сломаны обе пяточные кости. Чтобы вернуть мужчине способность ходить после хирургического вмешательства, медики Областной специализированной больницы медицинской реабилитации «Липовка» подобрали индивидуальный курс лечения, который позволил пациенту быстро восстановиться, встать на ноги и встретить праздники в кругу семьи. Широкий спектр современного оборудования поступает в свердловские здравницы по федеральному проекту «Оптимальная для восстановления медицинская реабилитация», входящему в национальный проект «Продолжительная и активная жизнь».
Режевлянин Дмитрий получил травму, упав в конце лета с лестницы высотой около трёх метров. Приземление было крайне неудачным — у мужчины диагностировали внутрисуставной оскольчатый перелом правой и левой пяточной костей. Травматологи Центральной городской клинической больницы №24 Екатеринбурга выполнили операцию по закрытому остеосинтезу спицами, что позволило восстановить целостность костей без осложнений. После этого мультидисциплинарной команде Областной специализированной больницы медицинской реабилитации «Липовка» предстояло помочь уральцу заново встать на ноги.
«Мы столкнулись со сложным клиническим случаем: Дмитрий приехал на инвалидной коляске через неделю после снятия гипса, в который был закован с лета, то есть почти полгода. После такого длительного обездвиживания высока вероятность контрактуры, и обычно реабилитационный период длится долго. Однако правильное сочетание двигательных активных и пассивных процедур, а также обезболивающих и расслабляющих методик в равных пропорциях дают в большинстве случаев быстрый результат восстановления здоровой чувствительности и максимального увеличения амплитуды травмированных отделов тела и конечностей», — рассказал инструктор-методист «Липовки» Анатолий Обухов.
Дмитрий отметил, что медики здравницы сразу настроили его на успех.
«Иного варианта, кроме выздоровления, мне просто не дали. Отмечу занятия на стабилоплатформе «ХУБЕР 360» — на них отрабатывали устойчивость, координацию движений. Я быстро начал вставать на пятки, а после бассейна с радоновой водой чувствовал расслабление, уходила боль. Сначала ходил, держась за коляску, а потом просто отпустил опору и понял: всё — двигаюсь сам!» — поделился впечатлениями мужчина.
Главный внештатный специалист министерства здравоохранения Свердловской области по санаторно-курортному лечению, главный врач «Липовки» Ирена Базите отметила, что благодаря современному оборудованию, закупленному по федеральному проекту «Оптимальная для восстановления медицинская реабилитация», и уникальному природному фактору специалисты справляются даже с самыми сложными травмами. В арсенале медицинской команды есть тренажёры с биологической обратной связью, технологии виртуальной реальности, механотерапия, ударно-волновая терапия, высокоинтенсивный лазер, теплолечение, магнитотерапия, лечебная физкультура, водные процедуры на основе радоновой воды, обладающей противовоспалительным, обезболивающим и успокаивающим эффектом. Подключают и нетрадиционные методики восстановления: иглорефлексотерапию, медицинские пиявки. Такое оснащение позволяет формировать индивидуальные реабилитационные программы согласно клиническим рекомендациям.
Благодаря свердловским медикам Дмитрий встретил новогоднюю ночь за праздничным столом. Под бой курантов он загадал желание быстрее сесть за руль, хотя ещё несколько недель назад был уверен, что состояние здоровья не позволит ему вернуться «за баранку».
