Уральские медики спасли 51-летнего мужчину из Китая после тяжёлого геморрагического инсульта

8494
2 минуты
Уральские медики спасли 51-летнего мужчину из Китая после тяжёлого геморрагического инсульта

ЕЩЁ БОЛЬШЕ ИНТЕРЕСНОГО И ПОЛЕЗНОГО В НАШЕМ ТЕЛЕГРАМ-КАНАЛЕ «Здоровье уральцев» https://t.me/minzdravso

ПОДПИСЫВАЙСЯ!

Городская больница №1, Нижний Тагил, Оксана Медведева

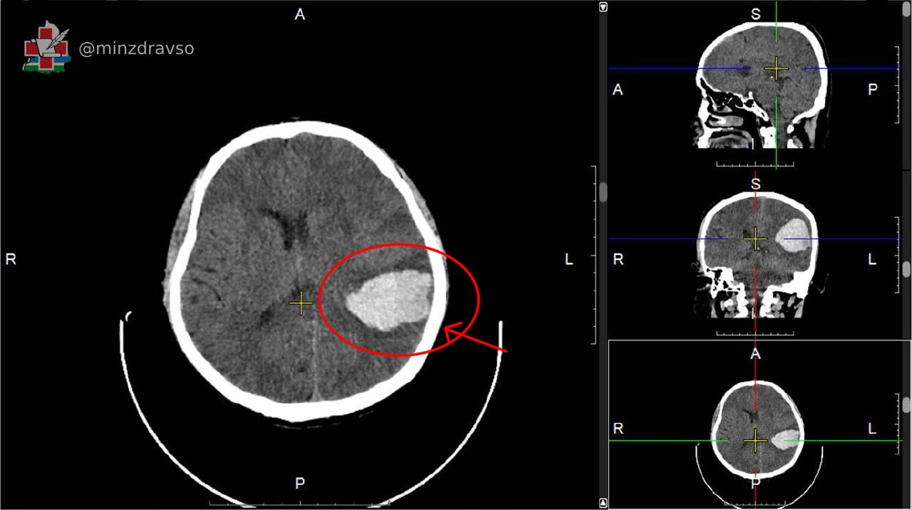
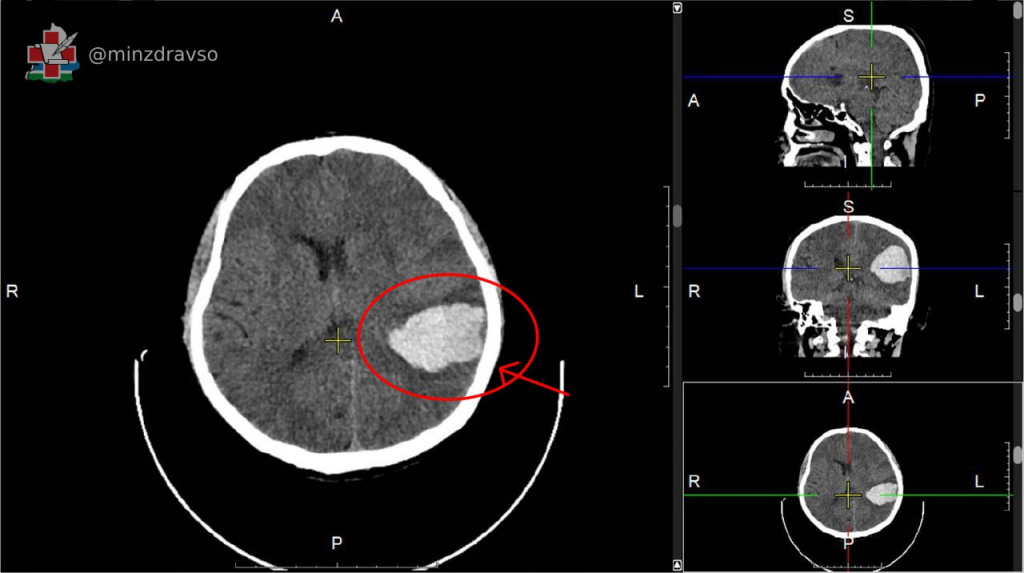
Совместная работа специалистов трёх медучреждений Свердловской области позволила спасти жизнь 51-летнему гражданину Китая, пострадавшему от геморрагического инсульта. У пациента была диагностирована внутричерепная гематома, требующая хирургического вмешательства. Наличие современного оборудования и развитие региональной сети первичных сосудистых центров благодаря национальным проектам «Здравоохранение» и «Продолжительная и активная жизнь», а также внедрение телемедицинских консультаций обеспечили быструю диагностику и успех операции.

Ухудшение состояния 51-летний мужчина, работающий наладчиком на лесозаготовительном предприятии в Краснотурьинске, почувствовал в конце смены. Коллеги обратили внимание на необычное поведение специалиста и вызвали бригаду скорой помощи. Прибывшие медики заподозрили геморрагический инсульт, при котором промедление может стоить жизни.

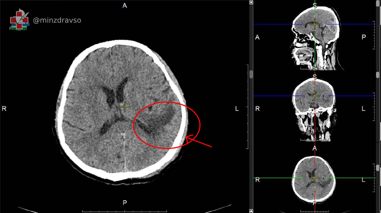
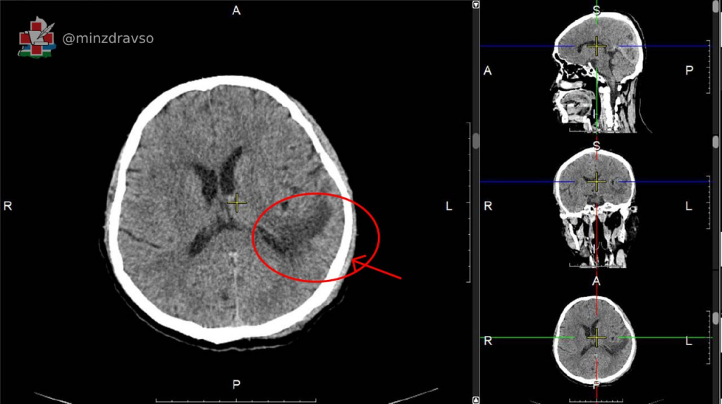
Врачи связались с коллегами из Городской клинической больницы №40 Екатеринбурга для постановки точного диагноза и выбора тактики лечения. Мужчине провели компьютерную томографию, КТ-ангиографию сосудов головного мозга, и специалисты приняли решение выполнить хирургическое вмешательство. Пациента безотлагательно доставили в Городскую больницу №1 Нижнего Тагила, где нейрохирурги удалили внутричерепное патологическое образование, полностью восстановив кровоснабжение.

«Это результат эффективной реализации федеральной программы, направленной на снижение летальности от сердечно-сосудистых заболеваний в регионе. Наши больницы внедряют телемедицинские технологии и получают оборудование для диагностики и лечения пациентов. Слаженное взаимодействие позволяет своевременно оказывать качественную специализированную медицинскую помощь», — сказал главный врач Городской больницы №1 Нижнего Тагила Александр Павловских.

После проведённого лечения у мужчины практически полностью восстановились речь и двигательная активность. В настоящий момент он чувствует себя хорошо, самостоятельно ходит, выписан из стационара и направлен на амбулаторную реабилитацию по месту жительства.

«Система консультативной помощи на расстоянии работает с 2013 года в круглосуточном режиме, без выходных. В первый год внедрения в ГКБ №40 телемедицины мы провели всего 72 консультации для коллег по поводу их пациентов, а в 2024 году — 4,8 тысячи консультаций», — отметил главный внештатный нейрохирург регионального Минздрава и Министерства здравоохранения РФ в Уральском федеральном округе Владимир Колотвинов.

Расширять перечень доступных методик лечения и таким образом совершенствовать работу медучреждений позволяет регулярное обновление медицинского оборудования, в том числе в рамках программы «Модернизация первичного звена здравоохранения Свердловской области».


Галерея

Разработано в АЛЬФА Системс